logo
Buon prezzo  in linea

Dettagli dei prodotti

Created with Pixso. Casa Created with Pixso. prodotti Created with Pixso.
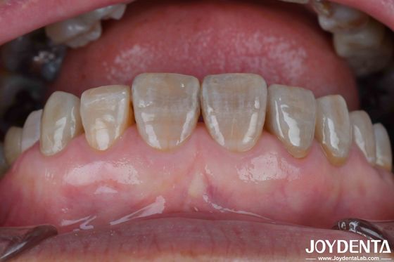
Estetica biomimetica dentale
Created with Pixso. Circonia dentale leggera per un'esperienza ottimale del paziente Transizioni di colore naturali e biocompatibilità garantite

Circonia dentale leggera per un'esperienza ottimale del paziente Transizioni di colore naturali e biocompatibilità garantite

Marchio: Joydenta
Numero di modello: Zir Multilayered
Tempo di consegna: 4 Days In Lab
Condizioni di pagamento: T/T, Paypal
Informazioni dettagliate
Place of Origin:
China
Certificazione:
ISO13485
Conforto:
Superficie leggera e liscia per un'esperienza ottimale del paziente
Applicazioni:
Ideale per le corone, i ponti, le finiture e i restauri con impianto
Trasparenza:
Traslucidità ottimizzata per una migliore estetica
Forza:
Alta resistenza alle fratture, adatta per restauri posteriori e anteriori
Trattamento:
Compatibile con sistemi CAD/CAM per la produzione di precisione
Personalizzazione:
Sfumature e dimensioni personalizzate per le esigenze dei singoli pazienti
Biocompatibilità:
Sicuro per i tessuti orali e adatto per un uso a lungo termine
Durabilità:
Materiale resistente all'usura e alla deformazione
Evidenziare:

Transizioni di colore naturali Zirconia dentale

,

Circonia dentale leggera

,

Biocompatibilità garantita Zirconia dentale

Descrizione di prodotto

Descrizione del prodotto:

Il prodotto Dental Zirconia è una soluzione all'avanguardia nella odontoiatria restauratoria che offre eccezionale qualità ed estetica.Questo materiale dentale avanzato è progettato per creare ponti e corone dentali in zirconia a più strati con prestazioni superiori e un aspetto realistico.

Processo di lavorazione: il prodotto Dental Zirconia è altamente compatibile con i sistemi CAD/CAM, consentendo una produzione precisa ed efficiente di restauri dentali.Questa compatibilità garantisce che ogni restauro sia adattato all'anatomia dentale unica del paziente, con conseguente adattamento e funzione ottimali.

Materiale: realizzato in zirconia di alta qualità utilizzando la tecnologia a gradienti multilivello, questo prodotto offre una resistenza e una durata eccezionali.La composizione a più strati aumenta la resistenza del materiale, che lo rende ideale per restauri di lunga durata che resistono ai rigori dell'uso quotidiano.

Estetica: Il prodotto Dental Zirconia presenta transizioni di colore naturali che imitano le sfumature dei denti reali, ottenendo un aspetto dentale realistico.Questa attenzione ai dettagli garantisce che i restauri si fondano perfettamente con i denti naturali del paziente, migliorando il loro sorriso con un aspetto naturale e armonioso.

Trasparenza: con una traslucidità ottimizzata, il prodotto Dental Zirconia offre un'estetica migliorata consentendo alla luce di passare attraverso il restauro, imitando la traslucidità naturale dei denti.Questa caratteristica si traduce in restauri che mostrano un elevato livello di estetica, offrendo ai pazienti sorrisi belli e naturali.

Durabilità: il prodotto Dental Zirconia è rinomato per la sua eccezionale durata, che lo rende una scelta affidabile per restauri di lunga durata.questo materiale garantisce che i restauri mantengano la loro integrità e funzione nel tempo, offrendo ai pazienti tranquillità e fiducia nel loro lavoro odontoiatrico.

Sia che abbiate bisogno di ponti di zirconia a più strati, corone dentali di zirconia o corone di zirconia ad alta traslucidità, il prodotto di zirconia dentale è una soluzione di alto livello che combina precisione,qualitàProvate i benefici di questo innovativo materiale dentale e offrite ai vostri pazienti restauri che eccellono in prestazioni ed aspetto.

 

Caratteristiche:

  • Ponte dentali in zirconia
  • Corone di zirconia ad alta traslucidità
  • Corone dentali in zirconia
  • Nome del prodotto: Zirconia dentale
  • Processing: compatibile con sistemi CAD/CAM per la produzione di precisione
  • Comfort: superficie leggera e liscia per un'esperienza ottimale del paziente
  • Personalizzazione: Sfumature e dimensioni personalizzate per le esigenze dei singoli pazienti
  • Forza: elevata resistenza alle fratture, adatta per restauri posteriori e anteriori
  • Estetica: cambiamenti di colore naturali per rendere i denti più realistici
 

Applicazioni:

Ocasioni e scenari di applicazione del prodotto per la zirconia dentale multicapa di Joydenta Zir:

Produzione di blocchi CAD/CAM in zirconia:La zirconia dentale multilivello Joydenta Zir è ideale per la produzione di blocchi CAD/CAM Zirconia.rendendolo una scelta privilegiata per i laboratori dentali che cercano di creare restauri di alta qualità.

Corone di zirconia ad alta traslucidità:Con una traslucidità ottimizzata, la zirconia multicapa di Joydenta Zir è perfetta per realizzare corone di zirconia ad alta traslucidità.rendendoli adatti a un'ampia gamma di applicazioni dentali, dalla dentistica estetica alle procedure di restauro.

Restauri duraturi e duraturi:La zirconia multicapa offre una durabilità duratura, resistente all'usura e alla deformazione.Questo lo rende un'ottima scelta per le restauri dentali che richiedono forza e longevità, garantendo la soddisfazione del paziente.

Soluzioni personalizzate:Il materiale in zirconia consente di personalizzare le tonalità e le dimensioni, rispondendo alle esigenze individuali del paziente.fornire un sorriso personalizzato e naturale.

Un' esperienza confortevole per il paziente:La superficie leggera e liscia della zirconia multicapa di Joydenta Zir contribuisce a una esperienza ottimale del paziente.I pazienti apprezzeranno il comfort e l'estetica dei restauri realizzati con questo materiale., migliorando la loro soddisfazione generale per il trattamento dentale.

Qualità e origine certificate:La zirconia multicapa di Joydenta Zir è certificata ISO13485, garantendo elevati standard di qualità nella produzione.questo prodotto combina qualità affidabile con tempi di consegna efficienti di 4 giorni in laboratorio, soddisfacendo le esigenze di pratiche odontoiatriche occupate.

Opzioni di pagamento sicure:I clienti possono acquistare comodamente la zirconia multicapa di Joydenta Zir con condizioni di pagamento che includono T/T e Paypal.Questa flessibilità nelle opzioni di pagamento rende più facile per i dentisti acquisire i materiali necessari per la loro pratica.

 

Personalizzazione:

Servizi di personalizzazione del prodotto per Joydenta Dental Zirconia - Zir Multilayered

Marchio: Joydenta

Numero di modello: Zir multilivello

Luogo di origine: Cina

Certificazione: ISO13485

Tempo di consegna: 4 giorni in laboratorio

Termini di pagamento: T/T, Paypal

Applicazioni: Ideale per corone di zirconia ad alta traslucidità, corone dentali di zirconia, ponti, rivestimenti e restauri con impianto

Trasparenza: Trasparenza ottimizzata per un'estetica migliorata

Forza: elevata resistenza alle fratture, adatta per restauri posteriori e anteriori

Processing: compatibile con sistemi CAD/CAM per la produzione di precisione

Materiale: Zirconia di alta qualità con tecnologia a gradiente a più strati

Buon prezzo  in linea

Dettagli dei prodotti

Created with Pixso. Casa Created with Pixso. prodotti Created with Pixso.
Estetica biomimetica dentale
Created with Pixso. Circonia dentale leggera per un'esperienza ottimale del paziente Transizioni di colore naturali e biocompatibilità garantite

Circonia dentale leggera per un'esperienza ottimale del paziente Transizioni di colore naturali e biocompatibilità garantite

Marchio: Joydenta
Numero di modello: Zir Multilayered
Condizioni di pagamento: T/T, Paypal
Informazioni dettagliate
Place of Origin:
China
Marca:
Joydenta
Certificazione:
ISO13485
Model Number:
Zir Multilayered
Conforto:
Superficie leggera e liscia per un'esperienza ottimale del paziente
Applicazioni:
Ideale per le corone, i ponti, le finiture e i restauri con impianto
Trasparenza:
Traslucidità ottimizzata per una migliore estetica
Forza:
Alta resistenza alle fratture, adatta per restauri posteriori e anteriori
Trattamento:
Compatibile con sistemi CAD/CAM per la produzione di precisione
Personalizzazione:
Sfumature e dimensioni personalizzate per le esigenze dei singoli pazienti
Biocompatibilità:
Sicuro per i tessuti orali e adatto per un uso a lungo termine
Durabilità:
Materiale resistente all'usura e alla deformazione
Delivery Time:
4 Days In Lab
Payment Terms:
T/T, Paypal
Evidenziare:

Transizioni di colore naturali Zirconia dentale

,

Circonia dentale leggera

,

Biocompatibilità garantita Zirconia dentale

Descrizione di prodotto

Descrizione del prodotto:

Il prodotto Dental Zirconia è una soluzione all'avanguardia nella odontoiatria restauratoria che offre eccezionale qualità ed estetica.Questo materiale dentale avanzato è progettato per creare ponti e corone dentali in zirconia a più strati con prestazioni superiori e un aspetto realistico.

Processo di lavorazione: il prodotto Dental Zirconia è altamente compatibile con i sistemi CAD/CAM, consentendo una produzione precisa ed efficiente di restauri dentali.Questa compatibilità garantisce che ogni restauro sia adattato all'anatomia dentale unica del paziente, con conseguente adattamento e funzione ottimali.

Materiale: realizzato in zirconia di alta qualità utilizzando la tecnologia a gradienti multilivello, questo prodotto offre una resistenza e una durata eccezionali.La composizione a più strati aumenta la resistenza del materiale, che lo rende ideale per restauri di lunga durata che resistono ai rigori dell'uso quotidiano.

Estetica: Il prodotto Dental Zirconia presenta transizioni di colore naturali che imitano le sfumature dei denti reali, ottenendo un aspetto dentale realistico.Questa attenzione ai dettagli garantisce che i restauri si fondano perfettamente con i denti naturali del paziente, migliorando il loro sorriso con un aspetto naturale e armonioso.

Trasparenza: con una traslucidità ottimizzata, il prodotto Dental Zirconia offre un'estetica migliorata consentendo alla luce di passare attraverso il restauro, imitando la traslucidità naturale dei denti.Questa caratteristica si traduce in restauri che mostrano un elevato livello di estetica, offrendo ai pazienti sorrisi belli e naturali.

Durabilità: il prodotto Dental Zirconia è rinomato per la sua eccezionale durata, che lo rende una scelta affidabile per restauri di lunga durata.questo materiale garantisce che i restauri mantengano la loro integrità e funzione nel tempo, offrendo ai pazienti tranquillità e fiducia nel loro lavoro odontoiatrico.

Sia che abbiate bisogno di ponti di zirconia a più strati, corone dentali di zirconia o corone di zirconia ad alta traslucidità, il prodotto di zirconia dentale è una soluzione di alto livello che combina precisione,qualitàProvate i benefici di questo innovativo materiale dentale e offrite ai vostri pazienti restauri che eccellono in prestazioni ed aspetto.

 

Caratteristiche:

  • Ponte dentali in zirconia
  • Corone di zirconia ad alta traslucidità
  • Corone dentali in zirconia
  • Nome del prodotto: Zirconia dentale
  • Processing: compatibile con sistemi CAD/CAM per la produzione di precisione
  • Comfort: superficie leggera e liscia per un'esperienza ottimale del paziente
  • Personalizzazione: Sfumature e dimensioni personalizzate per le esigenze dei singoli pazienti
  • Forza: elevata resistenza alle fratture, adatta per restauri posteriori e anteriori
  • Estetica: cambiamenti di colore naturali per rendere i denti più realistici
 

Applicazioni:

Ocasioni e scenari di applicazione del prodotto per la zirconia dentale multicapa di Joydenta Zir:

Produzione di blocchi CAD/CAM in zirconia:La zirconia dentale multilivello Joydenta Zir è ideale per la produzione di blocchi CAD/CAM Zirconia.rendendolo una scelta privilegiata per i laboratori dentali che cercano di creare restauri di alta qualità.

Corone di zirconia ad alta traslucidità:Con una traslucidità ottimizzata, la zirconia multicapa di Joydenta Zir è perfetta per realizzare corone di zirconia ad alta traslucidità.rendendoli adatti a un'ampia gamma di applicazioni dentali, dalla dentistica estetica alle procedure di restauro.

Restauri duraturi e duraturi:La zirconia multicapa offre una durabilità duratura, resistente all'usura e alla deformazione.Questo lo rende un'ottima scelta per le restauri dentali che richiedono forza e longevità, garantendo la soddisfazione del paziente.

Soluzioni personalizzate:Il materiale in zirconia consente di personalizzare le tonalità e le dimensioni, rispondendo alle esigenze individuali del paziente.fornire un sorriso personalizzato e naturale.

Un' esperienza confortevole per il paziente:La superficie leggera e liscia della zirconia multicapa di Joydenta Zir contribuisce a una esperienza ottimale del paziente.I pazienti apprezzeranno il comfort e l'estetica dei restauri realizzati con questo materiale., migliorando la loro soddisfazione generale per il trattamento dentale.

Qualità e origine certificate:La zirconia multicapa di Joydenta Zir è certificata ISO13485, garantendo elevati standard di qualità nella produzione.questo prodotto combina qualità affidabile con tempi di consegna efficienti di 4 giorni in laboratorio, soddisfacendo le esigenze di pratiche odontoiatriche occupate.

Opzioni di pagamento sicure:I clienti possono acquistare comodamente la zirconia multicapa di Joydenta Zir con condizioni di pagamento che includono T/T e Paypal.Questa flessibilità nelle opzioni di pagamento rende più facile per i dentisti acquisire i materiali necessari per la loro pratica.

 

Personalizzazione:

Servizi di personalizzazione del prodotto per Joydenta Dental Zirconia - Zir Multilayered

Marchio: Joydenta

Numero di modello: Zir multilivello

Luogo di origine: Cina

Certificazione: ISO13485

Tempo di consegna: 4 giorni in laboratorio

Termini di pagamento: T/T, Paypal

Applicazioni: Ideale per corone di zirconia ad alta traslucidità, corone dentali di zirconia, ponti, rivestimenti e restauri con impianto

Trasparenza: Trasparenza ottimizzata per un'estetica migliorata

Forza: elevata resistenza alle fratture, adatta per restauri posteriori e anteriori

Processing: compatibile con sistemi CAD/CAM per la produzione di precisione

Materiale: Zirconia di alta qualità con tecnologia a gradiente a più strati