Buon prezzo  in linea

Dettagli dei prodotti

Created with Pixso. Casa Created with Pixso. prodotti Created with Pixso.
Estetica biomimetica dentale
Created with Pixso. Circonia Dental Crown Case Study -- Global Lab Outsourcing -- Joydentalab

Circonia Dental Crown Case Study -- Global Lab Outsourcing -- Joydentalab

Marchio: Joydenta
MOQ: Flessibile
Tempo di consegna: 4 giorni lavorativi
Condizioni di pagamento: T/T paypal
Informazioni dettagliate
nuovo sito Web:
www.joydenta-lab.com
nuovo sito Web:
https://joydenta-lab.com/it/
Imballaggi particolari:
Avvolgimento a bolla con scatola
Capacità di alimentazione:
500 casi al giorno
Evidenziare:

Protesi circoniche dal look naturale

,

Dentiere in zirconia

,

Protesi in zirconia per la sostituzione dei denti

Descrizione di prodotto

Caso di studio sulla corona dentale in zirconia – Outsourcing globale premium di Joydentalab

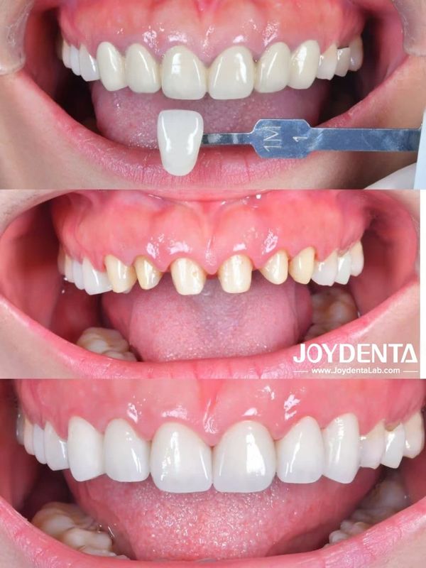
Questo caso clinico presenta un restauro secondario per un paziente che in precedenza aveva ricevuto corone in metallo-ceramica molti anni fa. Nel tempo, il paziente ha cercato un aggiornamento verso una soluzione più naturale, durevole ed esteticamente avanzata. La clinica odontoiatrica ha selezionato il sistema di corone dentali in zirconia prodotto da JOY Dental Lab, e il risultato è un chiaro passo avanti sia nella precisione che nelle prestazioni estetiche.

Come mostrato nelle immagini, la differenza tra la vecchia protesi e il nuovo restauro in zirconia è significativa. La corone dentali in zirconia aggiornata offre:

  • Maggiore accuratezza del colore e traslucenza

  • Una forma anatomica raffinata che si integra armoniosamente con la dentatura naturale del paziente

  • Resistenza e stabilità superiori a lungo termine

  • Materiali biocompatibili adatti a pazienti sensibili

La clinica odontoiatrica e il paziente hanno entrambi espresso soddisfazione per il risultato finale. Il restauro presenta un aspetto naturale e altamente realistico, rafforzando il motivo per cui la zirconia rimane uno dei materiali più affidabili nell'odontoiatria restaurativa moderna.


Perché i laboratori odontotecnici globali scelgono JOY Dental Lab per i restauri in zirconia

In qualità di laboratorio odontotecnico premium specializzato nell'outsourcing internazionale, JOY Dental Lab supporta i laboratori odontotecnici in Stati Uniti, Australia e Regno Unito con soluzioni in zirconia di alta precisione.

I nostri vantaggi includono:

  • Coerenza del design digitale attraverso un flusso di lavoro CAD/CAM avanzato

  • Materiali in zirconia multistrato ad alta resistenza

  • Tempi di consegna stabili per i clienti globali

  • Controllo di qualità rigoroso per garantire risultati prevedibili

  • Comunicazione professionale per la cooperazione di laboratorio a lunga distanza

Che tu necessiti di casi a unità singola, ponti in zirconia a intera arcata o restauri supportati da impianti, forniamo un supporto di produzione affidabile su misura per i laboratori odontotecnici globali.


Collabora con un laboratorio di outsourcing globale affidabile

Se la tua clinica o il tuo laboratorio è alla ricerca di un partner affidabile per la fabbricazione di corone dentali in zirconiaJOY Dental Lab offre precisione di produzione, estetica naturale ed eccellente servizio internazionale.

Diamo il benvenuto ai laboratori odontotecnici di tutto il mondo per collaborare ed elevare i loro risultati restaurativi con una lavorazione della zirconia di alta qualità.

Buon prezzo  in linea

Dettagli dei prodotti

Created with Pixso. Casa Created with Pixso. prodotti Created with Pixso.
Estetica biomimetica dentale
Created with Pixso. Circonia Dental Crown Case Study -- Global Lab Outsourcing -- Joydentalab

Circonia Dental Crown Case Study -- Global Lab Outsourcing -- Joydentalab

Marchio: Joydenta
MOQ: Flessibile
Dettagli dell' imballaggio: Avvolgimento a bolla con scatola
Condizioni di pagamento: T/T paypal
Informazioni dettagliate
Marca:
Joydenta
nuovo sito Web:
www.joydenta-lab.com
nuovo sito Web:
https://joydenta-lab.com/it/
Quantità di ordine minimo:
Flessibile
Imballaggi particolari:
Avvolgimento a bolla con scatola
Tempi di consegna:
4 giorni lavorativi
Termini di pagamento:
T/T paypal
Capacità di alimentazione:
500 casi al giorno
Evidenziare:

Protesi circoniche dal look naturale

,

Dentiere in zirconia

,

Protesi in zirconia per la sostituzione dei denti

Descrizione di prodotto

Caso di studio sulla corona dentale in zirconia – Outsourcing globale premium di Joydentalab

Questo caso clinico presenta un restauro secondario per un paziente che in precedenza aveva ricevuto corone in metallo-ceramica molti anni fa. Nel tempo, il paziente ha cercato un aggiornamento verso una soluzione più naturale, durevole ed esteticamente avanzata. La clinica odontoiatrica ha selezionato il sistema di corone dentali in zirconia prodotto da JOY Dental Lab, e il risultato è un chiaro passo avanti sia nella precisione che nelle prestazioni estetiche.

Come mostrato nelle immagini, la differenza tra la vecchia protesi e il nuovo restauro in zirconia è significativa. La corone dentali in zirconia aggiornata offre:

  • Maggiore accuratezza del colore e traslucenza

  • Una forma anatomica raffinata che si integra armoniosamente con la dentatura naturale del paziente

  • Resistenza e stabilità superiori a lungo termine

  • Materiali biocompatibili adatti a pazienti sensibili

La clinica odontoiatrica e il paziente hanno entrambi espresso soddisfazione per il risultato finale. Il restauro presenta un aspetto naturale e altamente realistico, rafforzando il motivo per cui la zirconia rimane uno dei materiali più affidabili nell'odontoiatria restaurativa moderna.


Perché i laboratori odontotecnici globali scelgono JOY Dental Lab per i restauri in zirconia

In qualità di laboratorio odontotecnico premium specializzato nell'outsourcing internazionale, JOY Dental Lab supporta i laboratori odontotecnici in Stati Uniti, Australia e Regno Unito con soluzioni in zirconia di alta precisione.

I nostri vantaggi includono:

  • Coerenza del design digitale attraverso un flusso di lavoro CAD/CAM avanzato

  • Materiali in zirconia multistrato ad alta resistenza

  • Tempi di consegna stabili per i clienti globali

  • Controllo di qualità rigoroso per garantire risultati prevedibili

  • Comunicazione professionale per la cooperazione di laboratorio a lunga distanza

Che tu necessiti di casi a unità singola, ponti in zirconia a intera arcata o restauri supportati da impianti, forniamo un supporto di produzione affidabile su misura per i laboratori odontotecnici globali.


Collabora con un laboratorio di outsourcing globale affidabile

Se la tua clinica o il tuo laboratorio è alla ricerca di un partner affidabile per la fabbricazione di corone dentali in zirconiaJOY Dental Lab offre precisione di produzione, estetica naturale ed eccellente servizio internazionale.

Diamo il benvenuto ai laboratori odontotecnici di tutto il mondo per collaborare ed elevare i loro risultati restaurativi con una lavorazione della zirconia di alta qualità.